南京仁品耳鼻喉专科医院

当前位置   南京耳鼻喉科哪家好 > 医院动态 > >

喉咙卡鱼刺的常见位置有哪些?南京卡鱼刺门诊预约_取鱼刺专业医院

南京仁品耳鼻喉医院  发布时间:2025-10-17 10:42
鱼刺最常卡在喉咙的咽喉部和食道入口处,具体可分为浅、中、深三个区域,不同部位的处理难度和风险差异较大。
1.浅表部位:最常见,相对易处理
 
这类位置靠近咽喉入口,肉眼或简单器械即可观察到,是鱼刺卡喉的高发区。
 
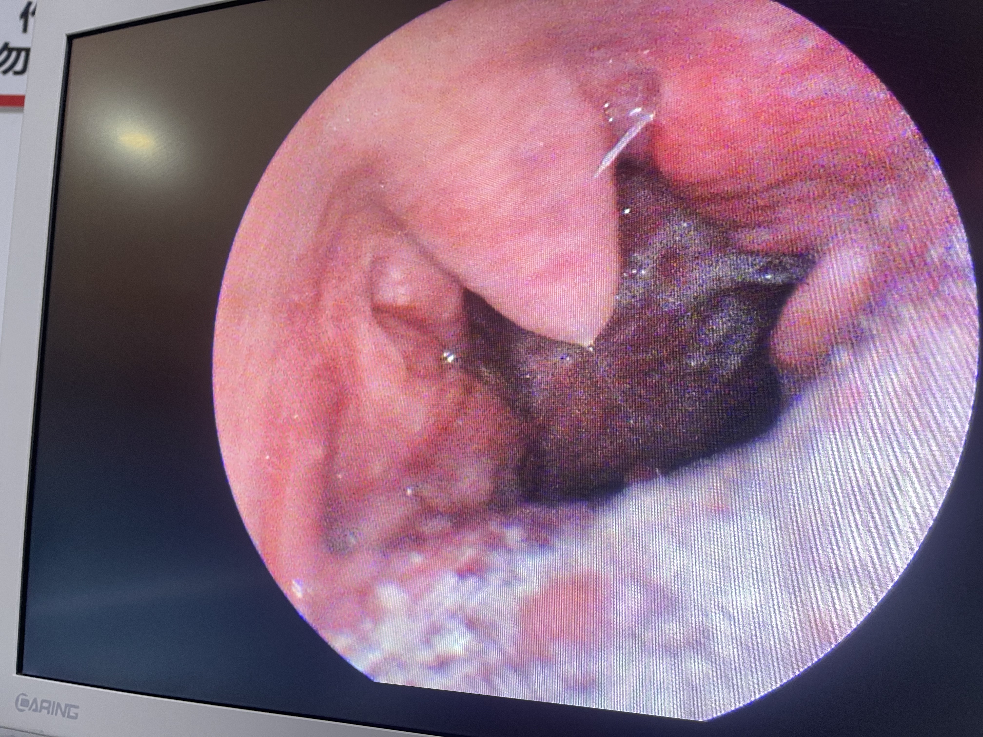
扁桃体及扁桃体窝:鱼刺容易卡在扁桃体表面或扁桃体周围的凹陷处(扁桃体窝),孩子吞咽时会有明显异物感和疼痛。
 
舌根及会厌谷:舌根下方、会厌软骨上方的凹陷(会厌谷),也是鱼刺易滞留的位置,可能伴随轻微吞咽不适,需借助喉镜才能看清。
 
2.中层部位:需专业器械取出
 
位置较深,需医生用喉镜检查才能发现,自行处理容易失误。
 
喉咽侧壁:咽喉两侧的黏膜下区域,鱼刺可能扎入黏膜内,吞咽时疼痛会向耳部放射,且不易自然脱落。
 
梨状窝:食道入口上方两侧的“小口袋”(梨状窝),是鱼刺卡喉的常见深层位置,此处靠近食道和气道,鱼刺若长期滞留可能引发感染,需及时用异物钳取出。
 
3.深层部位:风险较高,需紧急处理
 
鱼刺穿过咽喉进入食道,属于更危险的情况,可能损伤食道黏膜甚至血管。
 
食道入口处:食道最狭窄的部位,鱼刺极易在此卡住,可能导致吞咽困难、胸痛,严重时可能引发食道穿孔,需通过胃镜或食道镜取出。
 
食道中下段:极少数情况下,鱼刺会随吞咽滑入食道中下段,可能压迫周围器官(如主动脉),风险极高,需立即通过影像学检查(如CT)定位,由外科或消化科医生手术取出。

南京仁品耳鼻喉医院为了方便患者就诊,特开设了卡鱼刺专病门诊,支持夜诊,医生轮流值班,卡鱼刺门诊电话:025-85262032,来之前可提前拨打电话预约,来院即可安排医生取鱼刺,无需等待!
下一篇:没有了
看完文章还有疑问 点击继续问诊
名医坐诊 更多>>
简介| 医生| 医保| 地址

门诊时间:8:30 - 17:30

copyright©2017·南京仁品耳鼻喉医院
参考信息不作为诊断医疗数据网站地图